当孩子因为意外摔伤导致小腿骨折(胫腓骨远端骨折),家长的心往往揪成一团。除了心疼孩子的疼痛,大家最担心的往往是:手术会不会留疤?会不会伤到“筋骨”影响长个子?以后走路会不会一瘸一拐?
在泗阳医院小儿骨科,我们用微创技术给出了不一样的答案——让骨折修复不再伴随“刀疤阴影”,让孩子快速回归蹦跳的童年。
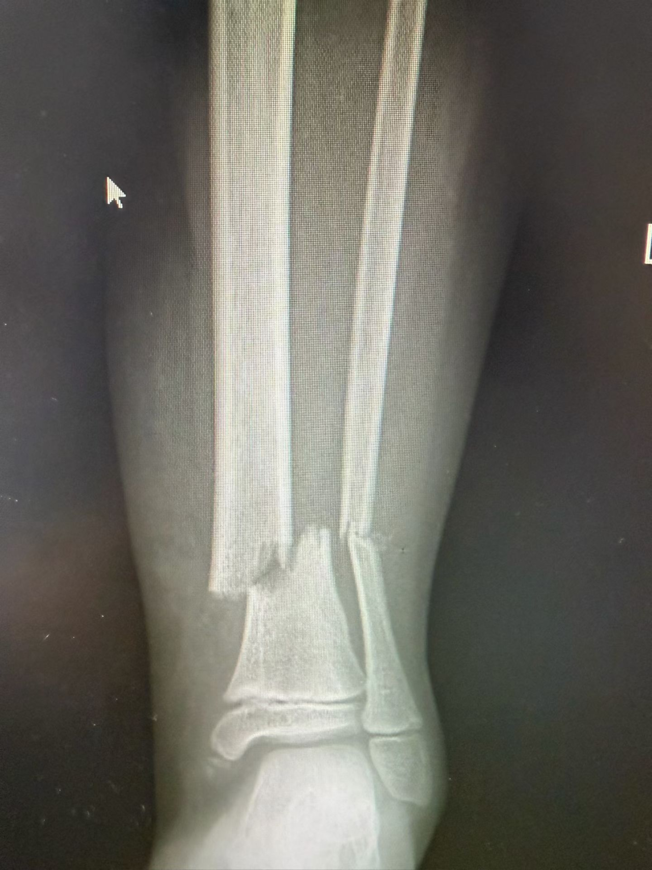
一张X光片的距离:从移位到精准复位
很多家长看到术前的X光片会吓一跳:孩子的骨头断端错位明显,甚至可能累及到负责骨骼生长的“骨骺”(生长板)。传统观念里,这可能需要大切口手术才能“看清”并“摆正”。
但在我们的微创手术中,过程却大不相同:
术前:影像清晰显示骨折位置,医生团队制定精准闭合复位方案。
术中:医生手法复位,利用C臂机实时透视,仅在皮肤上做微小穿刺,置入特制的固定针。
术后:X光片显示骨折对位对线完美,而孩子的皮肤上只留下几个微小的针孔,几乎看不见疤痕。

为什么说微创是孩子的“福音”?相比传统“开大刀”的手术,微创治疗儿童骨折有四个不可替代的优势:创伤小,感染风险低:不需要切开肌肉和软组织,避免了大伤口,出血少,感染几率大幅降低。保护“生长板”,不影响长个:儿童的骨骼还在发育,微创技术能精准避开骨骺(生长板),从根源上避免了因手术损伤导致的肢体长短不一或关节畸形。

恢复快,早日回归课堂:术后疼痛轻,孩子可以更早地进行功能锻炼,避免关节僵硬和肌肉萎缩,缩短卧床时间,尽快回到学校和操场。美观无痕,守护孩子自信:没有长长的蜈蚣疤,只有几乎看不见的针孔,让孩子在成长过程中免受疤痕带来的心理负担。
守护每一束“家庭的光”
在泗阳医院,我们深知每一个孩子都是家庭的希望。我们的目标不仅是把骨头接上,更是要用最温柔、最微创的方式,让孩子在身体和心理上都少受罪。
温馨提示孩子天性活泼,意外难免发生。如果孩子不慎摔伤导致肢体肿胀、疼痛、活动受限,请务必第一时间带孩子到专业的小儿骨科就诊。切记不要盲目听信“土方”或随意揉搓患处,科学规范的治疗才是孩子快速康复、健康成长的保障。
泗阳医院小儿骨科,用前沿的微创技术,为孩子的骨骼健康保驾护航!
下一篇:返回列表